Rhizarthrose
L’arthrose de la racine du pouce (rhizome) est appelée rhizarthrose.
Elle correspond à une usure du cartilage entre le trapèze (os du carpe : petit os du poignet) et le premier métacarpien.
Elle est plus fréquente chez la femme que chez l’homme elle est favorisée par les activités manuelles répétitives. L’atteinte bilatérale est fréquente.
Elle se traduit cliniquement par une douleur, une perte de force, difficultés à ouvrir un bocal, une bouteille d’eau, à tourner une clef ou une crémone.
Dans l’évolution apparait une déformation du pouce, avec rétraction de la première commissure (espace entre le pouce et l’index).
Diagnostic
Un examen avec un spécialiste de la main est indispensable.
Il comporte un examen clinique, qui évalue la force, la déformation, la douleur, les mobilités.
Il précise la gêne fonctionnelle, et recherche des pathologies associées, arthrose des doigts longs ou canal carpien par exemple
Le diagnostic repose sur des radiographies
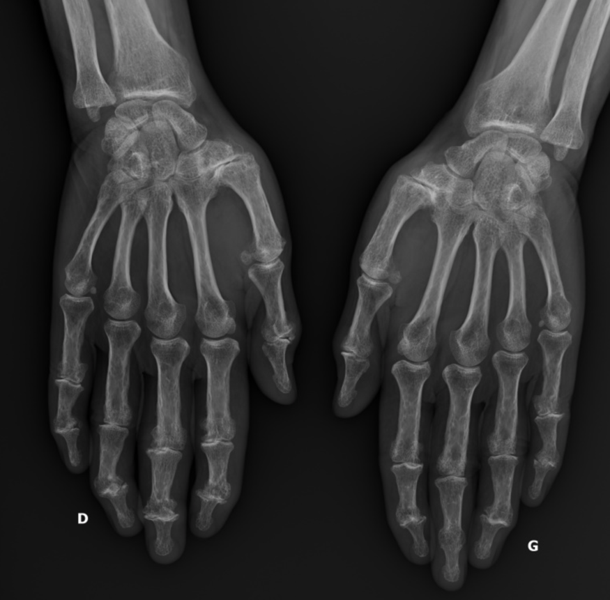
- Figure 1 rhizarthrose et arthrose des doigts longs
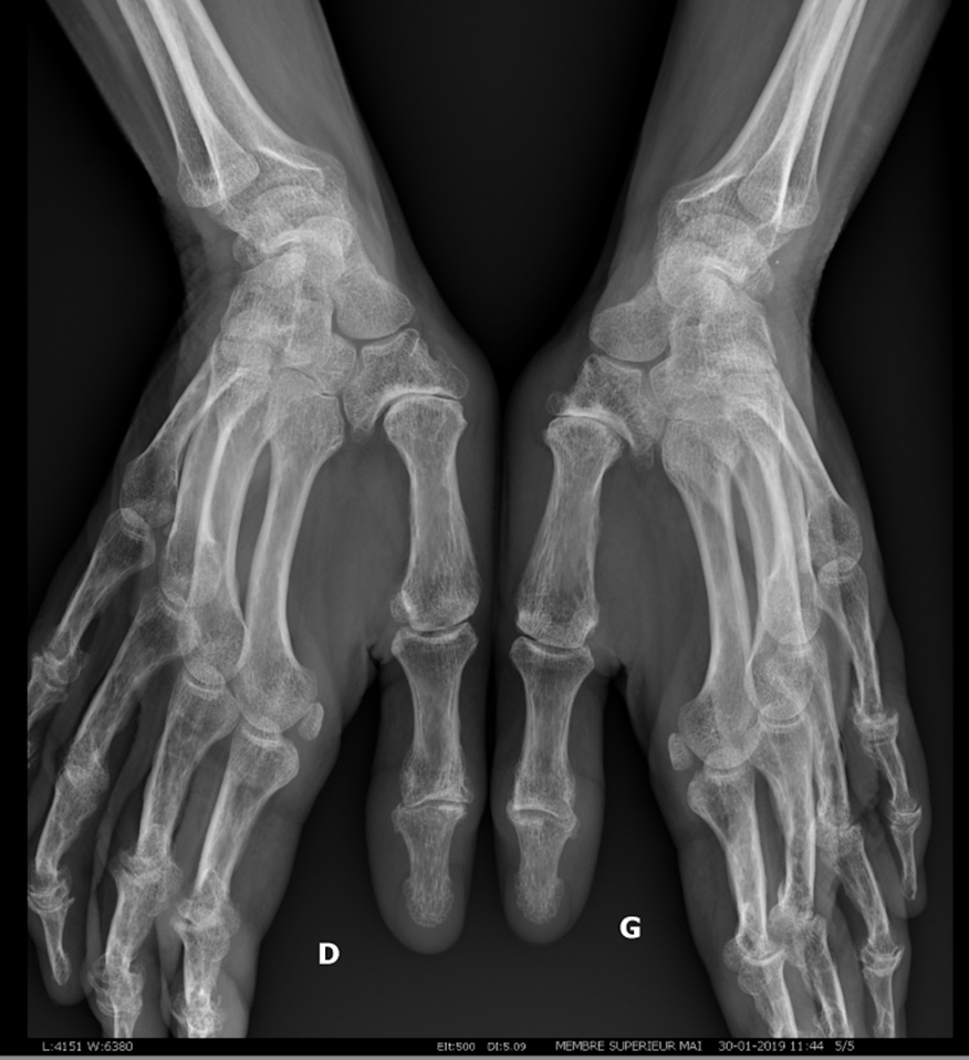
- Figure 2 rhizarthrose bilatérale
Après l’examen clinique, le traitement est d’abord médical va comporter un traitement symptomatique (anti inflammatoires, antalgiques …), et une orthèse sur mesure thermoformée à porter la nuit. En cas d’échec les infiltrations sous radio le plus souvent, et les visco supplémentations (injection d’acide hyaluronique (gel)), dan l’articulation peut être utile.
Après traitement médical, en cas d’échec, le traitement chirurgical est indiqué.
En cas de décision chirurgicale, un chirurgien spécialiste de la main prend en charge le patient.
Quelles interventions sont possibles ?
Deux opérations sont réalisées, elles ont chacune des avantages et inconvénients.
L’intervention est réalisée au bloc opératoire, par un chirurgien spécialiste de la main

Figure 3 Trapézectomie à distance d’une prothèse
La trapézectomie consiste en l’ablation du trapèze associée à une ligamentoplastie M1M2 (entre le premier et deuxième métacarpien) ou une plastie de suspension M1M2.
L’intervention est réalisée en ambulatoire (hospitalisation de quelques heures)
L’anesthésie est le plus souvent loco régionale, anesthésie des nerfs du bras sous contrôle échographique.
Une immobilisation post opératoire est nécessaire elle dure de 3 à 6 semaines.
Une rééducation avec une kinésithérapeute, est nécessaire, et le résultat est acquis entre 4 et 5 mois.
Le principal avantage de cette opération est son caractère définitif.

Figure 4 Prothèse trapézo métacarpienne
La prothèse trapézo métacarpienne consiste en remplacement du cartilage usé par une prothèse qui est basé sur le même principe que la prothèse de hanche miniature.
L’intervention est réalisée en ambulatoire (hospitalisation de quelques heures)
L’anesthésie est le plus souvent loco régionale, anesthésie des nerfs du bras sous contrôle
Une immobilisation post opératoire est nécessaire elle dure une semaine.
Une auto rééducation est entreprise, et le résultat est acquis entre 1 et 2 mois post opératoire.
Le principal inconvénient est l’usure de la prothèse, avec une durée de vie supérieure à 10 ans.
Comment se déroule le suivi post opératoire ?
Les consultations de contrôle ont habituellement lieu à l’ablation de l’attelle pour la trapézectomie et à 6 semaines pour la prothèse.
Les consultations sont maintenues jusqu’à récupération complète.
Un suivi radiologique pour la prothèse est nécessaire
une zone du corps



